Ästhetische und rekonstruktive Zahnheilkunde
Es gibt in der Zahnheilkunde Fortschritte bei der Adhäsivtechniken und bei den Komposit- und Keramikmaterialien. Diese Fortschritte ermöglichen die Reproduktion einer biomechanischen Übereinstimmung zwischen Restaurationsmaterialien und der umgebenden natürlichen Zahnhartsubstanz. Die Biomimetik ermöglicht mithilfe von teilabdeckenden, adhäsiven Keramikrestaurationen die Nachbildung der biologischen, ästhetischen, biomechanischen und funktionellen Eigenschaften von Schmelz und Dentin. Keramik ist das ideale Restaurationsmaterial und eine optimale Wahl für einen ästhetischen Erfolg. Sie zeichnet sich durch eine zeitlose Ästhetik, ideale Oberflächeneigenschaften und eine mechanische Interaktion aus, die mittels eines dynamischen Hochleistungsverbunds mit dem Zahn als ganzes sichergestellt werden.
Aufgrund der optimalen Steifigkeit in empfindlichen Bereichen, der hervorragenden Kaufähigkeit, der guten Verträglichkeit mit dem Parodontalgewebe sowie des harmonischen Übergangs zwischen Material und Schmelz nach der Befestigung ist dieses Material ein erfolgreicher Ersatz für natürlichen Zahnschmelz. Wichtig für die Behandlung ist weiterhin eine große Sorgfalt, damit die maximale Menge des natürlichen Zahnschmelzes erhalten bleibt.
Vollkeramische Teilkronen
Auch im Seitenzahnbereich stellen adhäsiv befestigte vollkeramische Teilrestaurationen eine gesicherte Therapieform dar. Durch eine defektorientierte Präparation und die Umgehung der retentiver Präparationsformen bieten vollkeramische Onlays einen sinnvollen Weg zur Vermeidung zahnhartsubstanzfordender traditioneller prothetischer Maßnahmen. Defekte mit größerem Zahnhartsubstanzverlust, wo ein Keramikinlay nicht mehr indiziert ist, werden mit Keramikteilkronen versorgt.

Frontzahnveneers
Aufgrund des guten klinischen Langzeiterfolges, der überragenden Ästhetik und der geringen Invasivität können adhäsiv befestigte Veneers in vielen Indikationen eine interessante Alternative für eine Versorgung mit konventionellen Einzelkronen bieten. Minimalinvasive Veneerpräparationen wie auch die provisorische Versorgung und die adhäsive Eingliederung stellen allerdings im Vergleich zur Vollkronenpräparation mit konventioneller Zementierung höhere Anforderungen an den Behandler.




Vollkeramikronen
Vollkeramikkronen werden immer häufiger in der Prothetik eingesetzt, da sie eine überlegene Ästhetik, eine ausgezeichnete Biokompatibilität und ein mit herkömmlichen Metallkeramikkronen vergleichbare Randpassung bieten. Die Herstellung mittels CAD-CAM-Technologie bietet ein zeitsparendes und präzises Herstellungsverfahren.











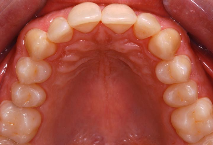
Table Tops (Kauflächen-Veneers)
Die Rehabilitation von abradierten Zähnen durch okklusale Veneers ist meist komplex und oft nur durch die Neugestaltung der Kauflächen zu realisieren. Dazu bieten sich auch relativ dünne, keramische Restaurationen an, die bei keiner oder nur minimaler Präparation an der noch verbliebenen Zahnhartsubstanz adhäsiv befestigt werden. Die Verwendung einer defektorientierten Keramikschale in Form einer adhäsiv befestigten Kaufläche gewährleistet eine zufriedenstellende ästhetische Adaptation an die Restzahnhartsubstanz sowie eine gute chemische und mechanische Beständigkeit. Angezeigt sind die Table Tops im Abrasions- oder Erosionsgebiss zur Wiederherstellung von anatomischen Kauflächen nach funktionsmorphologischen Prinzipien.
Die Ausgangsituation mit Defekten an den Palatinalflächen

Diagnostisches Wax-up

Palatinale Keramikschalen und Table Tops für die Seitenzähne des Oberkiefers

Adhäsive Befestigung der Palatinalveneers

Eingesetzte Keramikveneers

Adhäsive Befestigung der Table Tops

Zustand nach der Behandlung


