Ästhetische und rekonstruktive Zahnheilkunde
Die ästhetische Zahnheilkunde ist ein Gebiet der Zahnmedizin das zunehmend an Bedeutung gewinnt. Immer mehr junge Patienten weisen, dank der Prophylaxemaßnahmen, kariesfreie Kauorgane auf. Gleichzeitig nimmt auch die Anzahl von älteren Patienten, die länger bezahnt sind, ebenfalls zu. Beide Patientengenerationen stellen heute wesentlich höhere Ansprüche, wenn es um Korrekturen am Zahnfleisch oder um rekonstruktive Behandlungen an der Zahnhartsubstanz mittels zahnfarbenen Restaurationen, geht. Das Erkennen und die Korrektur der Probleme im Bereich der „roten“ und „weißen“ Ästhetik sind die Vorraussetzungen für das Gelingen der Behandlung.
Durch verschiedene chirurgische, parodontalplastische Operationsmethoden lassen sich lokale Kieferkammdefekte korrigieren (aufbauen) oder freiliegende Wurzelflächen (Rückgang des Zahnfleisches) wieder decken. Amalgam als Füllungsmaterial ist im Abwind, ob zu Recht oder nicht. Die Zahl der Patienten, die nur zahnfarbene Restaurationen akzeptieren nimmt zu. Von diesen Restaurationen wird erwartet, dass sie auf Sprechabstand und normale Begegnungsdistanz unsichtbar sind. Diese Forderung stellt ungewohnt hohe Ansprüche an die Qualität. Für verschiedene Indikationen im Seitenzahnbereich sind praxisreife Kompositfüllungen verfügbar. Die gegenwärtig zur Verfügung stehenden Materialien, Techniken und Methoden zur ästhetischen Restauration von Zähnen wie z.B. Keramikteilkronen, Vollkeramikkronen, Veneers (Frontzahnkeramikschalen) und Table Tops (Seitenzahnkeramikschalen) mit klar definierten Parameter wie Zahnform, Oberflächenstruktur, Farbe und Charakterisierung erlauben das Erwecken der Illusion natürlicher Zähne.
Lokale Kieferdammdefekte
Der ausgeprägte Kieferkammdefekt im Frontzahnbereich des Oberkiefers wurde mit dem am Gaumen entnommenen Bindegewebstransplantat vor Anfertigung des Zahnersatzes korrigiert. Die klinischen Bilder zeigen den Zustand vor und nach der plastischen Parodontalchirurgie und mit eingegliedertem, entgültigem Zahnersatz.




Die klinische Bilder zeigen einen Kieferkammdefekt vor und nach Aufbau mit einem Bindegewebstransplantat. Der fehlende Zahn wurde durch eine implantatgetragene Krone ersetzt.



Freiliegende Wurzelflächen
Der generalisierte Rückgang des Zahnfleisches und ein unästhetisches Bild der Oberkieferfrontzahnregion wurden durch eine „Tunneloperation“, mittels Bindegewebstransplantates und anschließender Versorgung der Zähne mit Vollkeramikrestaurationen, korrigiert.




Die lokalisierte Rezession am Eckzahn des Unterkiefers wurde durch die modifizierte „Envelope“ Technik mit einem Bindegewebstransplantat behandelt. Die klinischen Bilder zeigen den Zustand vor und drei Jahre nach der Behandlung.


Die freiliegende Wurzelfläche wurde in diesem Fall durch einen „Doppelpapillenlappen“ mit Bindegewebstransplantat gedeckt. Abgebildet ist der Zustand vor und vier Jahre nach der Behandlung.


Rezession der Klasse III am oberen Eckzahn wurde durch modifizierte „Envelope“ Technik und Bindegewebstransplantat behandelt. Bei diesem Rezessionstyp kann nur eine unwollständige Deckung der Wurzelfläche erreicht werden.




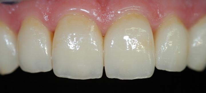
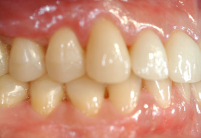
Die multiple Rezessionen im Oberkieferfrontzahnbereich wurden durch parodontal-plastische Chirurgie behandelt. Im Rahmen der weiteren rekonstruktiven Maßnahmen wurden die Zähne mit Keramikschalen versorgt.



Kompositfüllungen bei Seitenzähnen
Die Nachfrage nach ästhetischen Restaurationen im Seitenzahnbereich hat deutlich zugenommen. Die Patienten wunschen sich immer häufiger, dass ihre alten Restaurationen durch neue ausgetauscht werden, die im Idealfall nicht wahrnehmbar sind. Außerdem geht der Trend stark dahin, Amalgam allmählich aus der Zahnarztpraxis zu verbannen, aus offensichtlichen, aber auch aus kontroversen Gründen. Ein wichtiger Vorteil der direkten Kompositrestaurationen liegt darin, dass gesunde Zahnhartsubstanz erhalten bleiben kann. Adhäsive Behandlungstechniken in Verbindung mit neuen Kompositmaterialien ermöglichen deren Anwendung auch im Seitenzahnbereich.

Dentale Erosionen
Dentale Erosionen sind Verluste der Zahnhartsubstanz, die durch chemische Prozesse ohne Beteiligung von Mikroorganismen, entstehen. Bei der Behandlung von fortgeschrittenen dentalen Erosionen steht meistens eine Gesamtsanierung der Ober- und Unterkieferzahnreihen an. Die klassische Behandlungsform wäre bei einem solchen Fall eine chirurgische Verlängerung der klinischen Kronen im Frontzahnbereich des Oberkiefers und anschlissende Full-Mouth-Rehabilitation mit Vollkronen. Dank der verbesserten adhäsiven Techniken kann auf diese aggressive Behandlung verzichtet und gerade bei jüngeren Patienten ein minimalinvasiver Ansatz gewählt werden. In diesem Fall wurden die Seitenzähne mit adhäsiv befestigten Keramikrestaurationen versorgt. Um die Vitalität der oberen Frontzähne zu erhalten und gleichzeitig minimalinvasiv vorzugehen, wurde die „Sandwich-Technik“ gewählt, entwickelt am Zahnmedizinischen Institut der Universität Genf. Sie besteht aus Keramikveneers labial und aus Kompositveneers palatinal. Adhäsive Techniken vereinfachen das klinische und labortechnische Verfahren, trotzdem bleibt die Behandlung von solchen Fällen eine große klinische Herausvorderung, die eine enge interdisziplinäre Zusammenarbeit zwischen Zahnarzt und Zahntechniker erfordert .


1.Fall



2.Fall

Ausgangssituation mit ausgeprägten Erosionen
im Frontzahnbereich

Palatinale Erosionen

Erosionen im Seitenzahnbereich des Oberkiefers

Erosionen im Seitenzahnbereich des Unterkiefers
Vollkeramikrestaurationen für die Versorgung des Erosionsgebisses auf dem Modell

Zustand 18 Monate nach der Behandlung



